Wizyta u pulmonologa może budzić wiele pytań i obaw. Ten artykuł to kompleksowy przewodnik, który krok po kroku wyjaśnia, jak wygląda badanie u specjalisty chorób płuc, od przygotowania, przez wywiad, badanie fizykalne, aż po kluczowe testy diagnostyczne. Poznaj cały proces i dowiedz się, czego możesz się spodziewać, aby czuć się pewniej i spokojniej.
Wizyta u pulmonologa krok po kroku przewodnik po badaniach i przygotowaniu
- Do pulmonologa w ramach NFZ potrzebne jest skierowanie od lekarza POZ, prywatnie wizyta jest możliwa bez skierowania.
- Kluczowe etapy wizyty to szczegółowy wywiad lekarski, badanie fizykalne (osłuchiwanie płuc stetoskopem) oraz podstawowe badania diagnostyczne.
- Najczęściej wykonywane badania to spirometria (ocena funkcji płuc) i pulsoksymetria (pomiar natlenienia krwi).
- W zależności od potrzeb, lekarz może zlecić dodatkowe badania, takie jak RTG klatki piersiowej, tomografia komputerowa, badania krwi czy nawet bronchoskopia.
- Przygotowanie do wizyty obejmuje zabranie dokumentacji medycznej i listy przyjmowanych leków.

Kiedy wizyta u pulmonologa staje się koniecznością?
Pulmonolog to specjalista, który zajmuje się diagnostyką, leczeniem i profilaktyką chorób układu oddechowego, ze szczególnym uwzględnieniem płuc i oskrzeli. Jego rola jest nieoceniona w przypadku problemów z oddychaniem czy uporczywych dolegliwości ze strony dróg oddechowych. To właśnie do niego trafiają pacjenci z podejrzeniem lub zdiagnozowanymi schorzeniami, które wpływają na jakość ich życia i często wymagają długoterminowej opieki.
Do najczęstszych chorób diagnozowanych i leczonych przez pulmonologów należą astma, przewlekła obturacyjna choroba płuc (POChP), różnego rodzaju zapalenia płuc i oskrzeli, nowotwory płuc, sarkoidoza, mukowiscydoza, a także bezdech senny. Jeśli zauważasz u siebie niepokojące objawy, które utrzymują się przez dłuższy czas, nie wahaj się szukać pomocy. Wczesna diagnostyka jest kluczowa dla skutecznego leczenia.
Czym dokładnie zajmuje się lekarz pulmonolog?
Lekarz pulmonolog to ekspert w dziedzinie układu oddechowego. Jego praca koncentruje się na kompleksowej opiece nad pacjentami z problemami płuc i oskrzeli. Odpowiada za precyzyjną diagnostykę, wykorzystując szereg badań, by trafnie określić przyczynę dolegliwości. Następnie opracowuje indywidualny plan leczenia, który może obejmować farmakoterapię, rehabilitację oddechową, a w niektórych przypadkach również przygotowanie do zabiegów. Pulmonolog odgrywa także ważną rolę w profilaktyce, edukując pacjentów na temat zdrowego stylu życia i unikania czynników ryzyka, takich jak palenie papierosów czy narażenie na zanieczyszczenia. Zajmuje się takimi chorobami jak astma, przewlekła obturacyjna choroba płuc (POChP), zapalenia płuc i oskrzeli, nowotwory płuc, sarkoidoza, mukowiscydoza oraz bezdech senny.
5 kluczowych objawów, których nie wolno Ci zignorować
Istnieją pewne sygnały, które nasz organizm wysyła, a które absolutnie nie powinny być bagatelizowane. Mogą one świadczyć o poważnych problemach z układem oddechowym. Jako Melania Gilarska, zawsze podkreślam, jak ważne jest, aby słuchać swojego ciała. Oto pięć kluczowych objawów, które powinny skłonić Cię do wizyty u pulmonologa:
- Uporczywy kaszel: Kaszel, który utrzymuje się przez kilka tygodni, zwłaszcza jeśli jest suchy i męczący, lub towarzyszy mu odkrztuszanie wydzieliny, może być objawem wielu schorzeń, od infekcji po astmę czy POChP.
- Duszność: Uczucie braku tchu, zwłaszcza podczas wysiłku, a nawet w spoczynku, to alarmujący sygnał. Nie powinno się go ignorować, ponieważ może wskazywać na poważne problemy z płucami lub sercem.
- Ból w klatce piersiowej: Jeśli odczuwasz ból w klatce piersiowej, który nasila się podczas oddychania, kaszlu lub głębokiego wdechu, konieczna jest pilna konsultacja lekarska.
- Świsty lub rzężenia w klatce piersiowej: Nietypowe dźwięki podczas oddychania, takie jak świsty (wysokie, gwizdające) czy rzężenia (niskie, chrapliwe), często słyszalne nawet bez stetoskopu, mogą świadczyć o zwężeniu dróg oddechowych lub obecności wydzieliny.
- Nawracające infekcje dróg oddechowych: Jeśli często zmagasz się z zapaleniami oskrzeli, płuc lub innymi infekcjami układu oddechowego, może to wskazywać na osłabioną odporność płuc lub nierozpoznaną chorobę przewlekłą.
Skierowanie do pulmonologa jak je uzyskać i czy zawsze jest potrzebne?
Zasady dostępu do specjalisty pulmonologa różnią się w zależności od tego, czy korzystamy z opieki zdrowotnej w ramach Narodowego Funduszu Zdrowia (NFZ), czy decydujemy się na wizytę prywatną. W przypadku wizyty w ramach NFZ, skierowanie od lekarza podstawowej opieki zdrowotnej (POZ) jest niezbędne. Bez niego nie zostaniesz przyjęty. Niestety, czas oczekiwania na wizytę w ramach NFZ może być długi od kilku tygodni do nawet kilku miesięcy, w zależności od regionu i obłożenia poradni. Jeśli zależy nam na szybkiej konsultacji lub po prostu wolimy elastyczność, możemy umówić się na wizytę prywatną. W tym przypadku skierowanie nie jest wymagane, a koszt takiej konsultacji waha się zazwyczaj od 200 do 400 złotych.
Jak się przygotować do wizyty u pulmonologa?
Odpowiednie przygotowanie do wizyty u pulmonologa jest kluczowe, aby spotkanie było jak najbardziej efektywne i aby lekarz mógł postawić trafną diagnozę. Pamiętaj, że im więcej informacji dostarczysz, tym lepiej. Przygotowanie to nie tylko zebranie dokumentów, ale także przemyślenie swoich objawów i pytań. Z mojego doświadczenia wiem, że pacjenci, którzy są dobrze przygotowani, czują się pewniej i spokojniej, a ich wizyta przebiega sprawniej.
Lista rzeczy do zabrania: Dokumentacja medyczna, leki i nie tylko
Aby wizyta u pulmonologa była jak najbardziej owocna, warto zabrać ze sobą kilka kluczowych rzeczy. Ułatwi to lekarzowi szybkie zapoznanie się z Twoją historią medyczną i postawienie diagnozy. Oto lista, co powinieneś mieć ze sobą:
- Skierowanie (jeśli dotyczy, czyli w przypadku wizyty w ramach NFZ).
- Dowód osobisty lub inny dokument tożsamości.
- Kompletna dokumentacja medyczna, w tym karty informacyjne z pobytów w szpitalu, wyniki wcześniejszych badań (np. RTG klatki piersiowej, spirometria, badania krwi), opisy konsultacji u innych specjalistów.
- Lista wszystkich przyjmowanych leków (zarówno na stałe, jak i doraźnie), wraz z dawkowaniem. Możesz zabrać ze sobą opakowania leków.
- Dzienniczek objawów, jeśli prowadzisz zapiski dotyczące nasilenia kaszlu, duszności, bólu czy innych dolegliwości.
Jakie pytania zada Ci lekarz? Przygotuj się do wywiadu medycznego
Wywiad lekarski to jeden z najważniejszych elementów wizyty. Lekarz będzie zadawał szczegółowe pytania, aby uzyskać pełny obraz Twojego stanu zdrowia. Przygotowanie się do nich z wyprzedzeniem pozwoli Ci udzielić precyzyjnych odpowiedzi i niczego nie pominąć. Zawsze zachęcam moich pacjentów, aby przed wizytą zastanowili się nad tymi kwestiami. Oto typowe obszary, o które zapyta pulmonolog:
- Objawy: Jakie masz objawy (kaszel, duszność, ból w klatce piersiowej, świsty, rzężenia)? Kiedy się pojawiły? Jakie jest ich nasilenie? Czy coś je nasila lub łagodzi?
- Historia chorób: Czy chorujesz na inne choroby przewlekłe (np. serca, cukrzyca, alergie)? Czy miałeś w przeszłości problemy z płucami?
- Przyjmowane leki: Jakie leki przyjmujesz na stałe i doraźnie? Czy jesteś na coś uczulony?
- Historia chorób w rodzinie: Czy w Twojej rodzinie występowały choroby płuc, astma, alergie, nowotwory?
- Nałogi: Czy palisz papierosy (ile i od jak dawna)? Czy pijesz alkohol?
- Warunki pracy i życia: Czy jesteś narażony na pyły, dymy, chemikalia w pracy lub w domu? Czy masz kontakt ze zwierzętami, pleśnią?
przebieg wizyty u pulmonologa: Czego się spodziewać?
Wizyta u pulmonologa to zazwyczaj kompleksowy proces, który składa się z kilku etapów. Moim celem jest zawsze, aby pacjent czuł się komfortowo i wiedział, czego może się spodziewać. Od momentu wejścia do gabinetu, poprzez rozmowę, badanie fizykalne, aż po ewentualne badania diagnostyczne, każdy krok ma swoje uzasadnienie i służy postawieniu jak najdokładniejszej diagnozy. Poznajmy szczegóły.
Rozmowa, która ma znaczenie: Dlaczego wywiad lekarski jest tak ważny?
Wywiad lekarski to fundament każdej wizyty. To właśnie podczas tej rozmowy zbieram kluczowe informacje, które pomagają mi zrozumieć Twoje dolegliwości i kontekst zdrowotny. Nie jest to tylko formalność to detektywistyczna praca, w której każdy szczegół ma znaczenie. Pytam o objawy, takie jak kaszel, duszność czy ból w klatce piersiowej, ich nasilenie i czas trwania. Dopytuję o choroby przewlekłe, które mogą wpływać na układ oddechowy, a także o wszystkie przyjmowane leki. Niezwykle ważna jest również historia chorób w rodzinie, nałogi, zwłaszcza palenie papierosów, oraz warunki pracy i życia, które mogą narażać na szkodliwe czynniki. Wszystkie te dane składają się na pełny obraz, który jest niezbędny do postawienia trafnej diagnozy.
Osłuchiwanie stetoskopem: Co lekarz "słyszy" w Twoich płucach?
Po wywiadzie przechodzimy do badania fizykalnego, a jego kluczowym elementem jest osłuchiwanie płuc i oskrzeli za pomocą stetoskopu. To prosta, ale niezwykle skuteczna metoda, która pozwala mi ocenić, jak pracuje Twój układ oddechowy. Proszę pacjenta o głębokie wdechy i wydechy, a ja skupiam się na szmerach oddechowych. Szukam wszelkich nieprawidłowości: świstów, które mogą wskazywać na zwężenie oskrzeli (jak w astmie), rzężeń, które często świadczą o obecności wydzieliny, czy trzeszczeń, które mogą sugerować zmiany w miąższu płucnym. Każdy niepokojący dźwięk jest dla mnie cenną wskazówką diagnostyczną.
Badanie fizykalne: Opukiwanie klatki piersiowej i ocena ogólna
Osłuchiwanie to nie jedyny element badania fizykalnego. Zawsze zwracam uwagę na ogólny stan pacjenta kolor skóry, obecność sinicy, kształt klatki piersiowej. Wykonuję również opukiwanie klatki piersiowej. Przykładam palec do klatki piersiowej i delikatnie go opukuję, nasłuchując odgłosu. Różnice w odgłosie opukowym mogą wskazywać na obecność płynu, powietrza lub zmian w strukturze płuc. To wszystko, w połączeniu z wywiadem i osłuchiwaniem, daje mi wstępny obraz sytuacji i pozwala zaplanować dalsze kroki diagnostyczne.
Kluczowe badania diagnostyczne u pulmonologa
Po wstępnym badaniu fizykalnym, w zależności od zebranych informacji i moich podejrzeń, mogę zlecić wykonanie dodatkowych badań diagnostycznych. Są one niezbędne do potwierdzenia diagnozy, oceny zaawansowania choroby oraz monitorowania skuteczności leczenia. Niektóre z nich są standardem w pulmonologii, inne zlecane są w bardziej specyficznych przypadkach. Poniżej omówię te najważniejsze.

Spirometria: Jak wygląda "dmuchanie w rurkę" i co mówi o Twoich płucach?
Spirometria to jedno z podstawowych i najczęściej wykonywanych badań czynnościowych układu oddechowego. Jest bezbolesna, trwa zaledwie kilka minut i dostarcza mi mnóstwa cennych informacji o kondycji Twoich płuc. Badanie polega na tym, że pacjent, po krótkim instruktażu, oddycha przez ustnik podłączony do urządzenia zwanego spirometrem. Kluczowe jest wykonanie kilku głębokich wdechów, a następnie bardzo mocnych i długich wydechów, aż do całkowitego opróżnienia płuc. Wymaga to pewnej współpracy i zaangażowania, ale jest niezwykle ważne dla uzyskania wiarygodnych wyników. Spirometria pozwala mi ocenić:
- Objętość i pojemność płuc: Ile powietrza Twoje płuca są w stanie pomieścić.
- Przepływy powietrza: Z jaką prędkością powietrze przepływa przez Twoje drogi oddechowe.
Pulsoksymetria: Błyskawiczny pomiar na palcu, który mówi wszystko o Twoim natlenieniu
Pulsoksymetria to proste, szybkie i całkowicie bezbolesne badanie, które często wykonuję już podczas pierwszej wizyty. Polega na założeniu niewielkiego klipsa (pulsoksymetru) na palec. Urządzenie to wykorzystuje światło do pomiaru saturacji, czyli poziomu nasycenia krwi tlenem. To niezwykle ważny wskaźnik, który informuje mnie, jak efektywnie Twoje płuca dostarczają tlen do organizmu. Prawidłowy wynik saturacji to zazwyczaj 95-99%. Niższe wartości mogą wskazywać na niedotlenienie i konieczność dalszej diagnostyki.
Gazometria: Kiedy konieczne jest badanie krwi z tętnicy?
Gazometria krwi tętniczej to bardziej zaawansowane badanie, które zlecane jest, gdy potrzebuję bardzo dokładnej oceny funkcji oddechowej. Polega na pobraniu niewielkiej próbki krwi bezpośrednio z tętnicy, najczęściej promieniowej (na nadgarstku). Choć może być nieco bardziej niekomfortowe niż standardowe pobranie krwi z żyły, jest niezwykle cenne. Gazometria pozwala mi na precyzyjną ocenę stężenia tlenu i dwutlenku węgla we krwi, a także równowagi kwasowo-zasadowej organizmu. Te parametry są kluczowe w diagnostyce poważnych zaburzeń oddechowych, niewydolności płuc czy monitorowaniu pacjentów z chorobami przewlekłymi.
Dalsze kroki w diagnostyce pulmonologicznej
Jeśli wstępne badania, takie jak wywiad, badanie fizykalne i spirometria, nie dostarczą wszystkich niezbędnych informacji lub wzbudzą podejrzenia poważniejszych schorzeń, mogę zlecić bardziej zaawansowane testy diagnostyczne. Są one kluczowe do postawienia ostatecznej diagnozy i zaplanowania odpowiedniego leczenia. Pamiętaj, że każde z tych badań ma swoje konkretne wskazania i jest dobierane indywidualnie do potrzeb pacjenta.

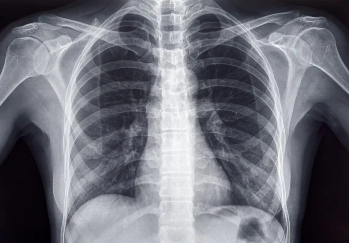
RTG klatki piersiowej: Czy zawsze jest zlecane i co może wykazać?
Rentgen klatki piersiowej (RTG) to jedno z podstawowych badań obrazowych w pulmonologii. Nie zawsze jest zlecane od razu, ale często stanowi pierwszy krok w diagnostyce, gdy podejrzewam zmiany w płucach. Jest to szybkie i łatwo dostępne badanie, które pozwala mi ocenić ogólną strukturę płuc, serca i śródpiersia. Na zdjęciu rentgenowskim mogę dostrzec m.in. zmiany zapalne (jak w zapaleniu płuc), obecność płynu w opłucnej, powiększenie węzłów chłonnych czy nawet wstępne zmiany nowotworowe. Choć ma swoje ograniczenia, jest niezwykle cenne jako badanie przesiewowe.
Tomografia komputerowa (TK): Kiedy potrzebny jest bardziej szczegółowy obraz płuc?
Jeśli wynik RTG klatki piersiowej jest niejednoznaczny lub podejrzewam poważniejsze schorzenia, takie jak guzy, rozstrzenie oskrzeli, zmiany śródmiąższowe czy zatorowość płucną, mogę zlecić tomografię komputerową (TK) klatki piersiowej. Jest to znacznie dokładniejsze badanie obrazowe niż RTG, które dostarcza przekrojowych obrazów płuc w wysokiej rozdzielczości. Dzięki TK mogę zobaczyć szczegóły, które są niewidoczne na zwykłym zdjęciu rentgenowskim, co jest kluczowe dla precyzyjnej diagnozy i planowania dalszego leczenia.
Bronchoskopia kiedy lekarz musi zajrzeć do wnętrza Twoich dróg oddechowych?
Bronchoskopia to badanie inwazyjne, które wykonuję, gdy potrzebuję bezpośrednio obejrzeć wnętrze dróg oddechowych tchawicy i oskrzeli. Polega na wprowadzeniu giętkiego endoskopu (bronchoskopu) przez nos lub usta do dróg oddechowych. Badanie to jest wykonywane w znieczuleniu miejscowym, a czasem w sedacji, aby zapewnić pacjentowi komfort. Bronchoskopia umożliwia nie tylko wizualną ocenę błony śluzowej i światła oskrzeli, ale także pobranie wycinków do badania histopatologicznego, popłuczyn oskrzelowo-pęcherzykowych czy szczoteczkowanie. Jest to kluczowe w diagnostyce nowotworów, przewlekłych infekcji czy chorób śródmiąższowych.
Testy alergiczne i badania krwi: W poszukiwaniu przyczyn problemów z oddychaniem
W wielu przypadkach problemy z oddychaniem mają podłoże alergiczne, dlatego diagnostyka pulmonologiczna często obejmuje również testy alergiczne oraz specyficzne badania krwi. Są one niezwykle pomocne w identyfikacji czynników wywołujących objawy, zwłaszcza w przypadku astmy alergicznej. Zawsze zwracam uwagę na te aspekty, gdyż prawidłowe rozpoznanie alergii jest kluczowe dla skutecznego leczenia. Oto niektóre z badań, które mogą zostać zlecone:
- Morfologia krwi: Ogólna ocena stanu zdrowia, może wykazać podwyższoną liczbę eozynofili w przypadku alergii.
- CRP (białko C-reaktywne): Wskaźnik stanu zapalnego w organizmie.
- IgE całkowite i swoiste: Badanie poziomu immunoglobulin E, które są podwyższone w alergiach. IgE swoiste pozwala zidentyfikować konkretne alergeny.
- D-dimery: Badanie zlecane w przypadku podejrzenia zatorowości płucnej.
- Testy alergiczne skórne (punktowe): Pozwalają zidentyfikować alergeny wziewne i pokarmowe, które mogą wywoływać objawy astmy lub alergicznego nieżytu nosa.
Po wizycie u pulmonologa: Co dalej?
Po zakończeniu wszystkich badań i zebraniu pełnego obrazu sytuacji, następuje omówienie wyników i ustalenie dalszego postępowania. To moment, w którym pacjent otrzymuje konkretne informacje na temat swojego stanu zdrowia, diagnozy i planu leczenia. Moim zadaniem jest nie tylko postawienie diagnozy, ale także jasne wyjaśnienie wszystkich zaleceń, aby pacjent czuł się pewnie i aktywnie uczestniczył w procesie leczenia.
Plan leczenia i zalecenia: Czego możesz oczekiwać od lekarza?
Po dogłębnej analizie wszystkich zebranych danych, przedstawię Ci diagnozę oraz szczegółowy plan leczenia. Może on obejmować farmakoterapię (np. leki wziewne, doustne), zalecenia dotyczące zmian w stylu życia (np. rzucenie palenia, unikanie alergenów), a także skierowanie na rehabilitację oddechową czy konsultacje u innych specjalistów. Zawsze staram się, aby plan był dostosowany do Twoich indywidualnych potrzeb i możliwości. Otrzymasz również wszelkie zalecenia dotyczące dalszego postępowania, w tym informacje o tym, na co zwracać uwagę i kiedy szukać pomocy.
Przeczytaj również: PET prywatnie: Ile kosztuje i czy warto przyspieszyć diagnozę?
Kiedy należy umówić się na wizytę kontrolną?
Konieczność i termin wizyty kontrolnej są zawsze ustalane indywidualnie. Zależą one od postawionej diagnozy, zaawansowania choroby, wdrożonego leczenia oraz Twojego ogólnego stanu zdrowia. W niektórych przypadkach, np. przy rozpoczynaniu leczenia astmy, wizyty kontrolne mogą być częstsze, aby monitorować skuteczność terapii i ewentualnie ją modyfikować. W innych, przy stabilnym przebiegu choroby, wystarczą rzadsze kontrole. Zawsze poinformuję Cię, kiedy i dlaczego kolejna wizyta będzie potrzebna, abyśmy mogli wspólnie dbać o Twoje zdrowie oddechowe.
